Populacija osoba starije životne dobi svakodnevno je sve brojnija zbog poboljšanih životnih uvjeta (socio-ekonomskih, zdravstvenih i prehrambenih). Napredak zdravstvenog sustava i uvođenja mjera javnog zdravstva produžili su životni vijek u cijelome svijetu. Starenje je normalna fiziološka pojava koja počinje u trenutku kada smo začeti. Promjene koje se događaju nisu bolesti već biološki proces kojim naše tijelo doživljava promjene kao što su pojava bora, sjedenje kose, bolovi u kostima, smanjenje mišićne mase, nakupljanje vode, zaboravljanje stvari koje su se dogodile nedavno ali sjećanje na stvari iz prošlosti ili djetinjstva i mnoge druge. Kako se naše tijelo mijenja, tako se promjene manifestiraju i u usnoj šupljini poput istrošenosti zubi, promijene boje zubi, potpune ili djelomične bezubosti te smanjenog lučenja sline (xerostomia).
ULOGA SLINE U USNOJ ŠUPLJINI
Slinu proizvode male i velike žlijezde slinovnice. Ima važnu ulogu u žvakanju hrane, pomaže nam da ne oštetimo sluznicu te sadrži enzime pomoću kojih lakše probavljamo ugljikohidrate, također nam pomaže i u funkciji govora te čišćenju oralnih struktura. Slina i zubi imaju bitnu ulogu u procesu žvakanja, pripremanja i usitnjavanja hrane koja putuje u daljnji probavni trakt. Važno je jesti raznoliko kako bi se unijele sve hranjive tvari potrebne organizmu. Normalna količina sline koja se izlučuje tijekom dana je od 0,7l do 1l. Noću je izlučivanje sline smanjeno. Smanjena funkcija žlijezda slinovnica najčešće je uzrokovana lijekovima (lijekovi protiv povišenog krvnog tlaka, lijekovi protiv depresije i različitih psihičkih stanja) koje koriste osobe treće životne dobi. Također uzrok smanjog lučenja sline uzrokuje zračenje i kemoterapija u području glave i vrata. Nedostatak sline očituje se suhom, crvenom i raspucanom sluznicom usne šupljine, a pacijenti se žale na osjećaj peckanja i žarenja sluznice usta osobito jezika. Smanjenom funkcijom žlijezda slinovnica preostali zubi u usnoj šupljini podložniji su karijesima, sanacijom karijesa sprečavamo širenje bakterija (mikroorganizama) da putuju putem krvi našim organizmom.
LIJEČENJE SUHOĆE USTIJU
Žlijezde slinovnice možemo potaknuti na lučenje sline žvakanjem čvrste hrane, žvakanjem žvakaćih guma, kiselim napitcima (limunada) ili konzumiranjem tvrdih bombona bez šećera. Ukoliko nam prije navedeni proizvodi ne pomažu, možemo koristiti pripravke poput umjetne sline. Najčešća posljedica suhoće usta je oralna kandidijaza.
Najčešće kliničke slike kod osoba treće životne dobi su:
1. Totalna ili djelomična bezubost (mobilni nadomjesci)
2. Fiksni nadomjesci (mostovi i krunice)
3. Osobe koje imaju sačuvanu denticiju
TOTALNA ILI DJELOMIČNA BEZUBOST 
Mobilni nadomjesci su nadomjesci koji se vade iz usne šupljine. Mogu biti totalne kod osoba koje nemaju niti jedan zub, bilo u gornjoj ili u donjoj čeljusti ili djelomične kod osoba koje imaju prirodne zube ili su dio fiksnih radova. Mobilni nadomjesci osiguravaju bolju fonetsku, estetsku, psihološku i mastikatornu funkciju. Pojedini pacijenti se teško navikavaju na nošenje proteze, ali važno je biti strpljiv i nositi protezu jer tijekom vremena dođe do adaptacije. Ukoliko postoje određene smetnje poput „ žuljanja“ grebanja važno je posjetiti stomatologa kako bi uklonio navedene smetnje. Kod osoba koje nose proteze vrlo važno je:
– proteze ne smiju „žuljati“ u ustima
– proteze kada nisu u ustima, bitno je da se odlože u vodu jer su izrađene od materijala koji je sklon promjenama
– protezu treba čistiti četkicom i pastom a usta ispirati slanom vodom.
– posjećivati stomatologa najmanje jednom godišnje radi kontrole a svakih 5 godina pacijent ima pravo na izradu nove proteze
FIKSNI NADOMJESCI
Nošenjem fiksnih radova (mostova i krunica) također je potrebno usnu šupljinu održavati čistom, koristiti četkicu i zubnu pastu te prati zube isto kao da su „naši“. Često pacijenti kad naprave fiksne radove misle da su pošteđeni pranja zubi jer su stavili keramičke. Važno je redovito posjećivati doktora dentalne medicine, svakih 6-12 mjeseci kako bi se utvrdile eventualne promijene na mostu ili krunicama (odcementiranje mosta, stvaranje parodontnih džepova, itd.).
Osobe koje imaju sačuvanu denticiju (svoje prirodne zube)
Kod osoba starije životne dobi koji imaju svoje zube važno ih je održavati zdravim kako bi sto dulje ostali u usnoj šupljini. Najveći saveznik u očuvanju zdravlja zubi je dobra oralna higijena. Osobe treće životne dobi zbog različitih sistemskih bolesti
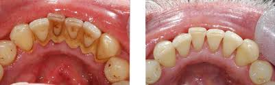
(najčešće dijabetes i povišen krvi tlak) i uzimanjem različitih lijekova koji uzrokuju smanjenje rada žlijezda slinovnica i time smanjeno lučenje sline usna šupljina postaje suha i sklonija nakupljanu dentobakterijskog plaka koji uzrokuje upale desni, krvarenja i demineralizaciju tkiva (karijes). Zbog fiziološkog povlačenja mesa zubni vratovi su izloženi usnoj šupljini i mjesta su gdje se najviše nakuplja plak i uzrokuje navedene promjene. Upravo te parodonte bolesti najučestlije se medu starijom populacijom. Provođenjem parodontne terapije odstranjivanje, čišćenje i poliranje supragigivalnih i subgingivalnih naslaga čuvamo zdravlje zubi. Ako osobe u usnoj šupljini imaju zube koji su izvor infekcija ili nisu upotrebljivi (radix relicta) te parodonti zubi važno ih je kirurški ukloniti jer mikroorganizni od tih zubi putuju u cirkulaciju cjelokupnog organizma i tako ga „ truju“.
Oralno zdravlje je važno za zdravlje cjelokupnog organizma. Održavanjem zdravlje usne šupljine produžujemo vijek prirodnim zubima. Danas na tržištu postoje mnogobrojni dentalni pripravci koji nam omogućuju očuvanje zdravlje usne šupljine. Bez obzira dali imali totalnu ili djelomičnu bezubu čeljust, fiksne nadomjeske ili svoje zube važno je da se oralna higijena provodi najmanje 2 puta dnevno uporabom četkice za mehaničko čišćenje usne šupljine i upotrebom kemijskih sredstava (zubna pasta, vodice za ispiranje). Posjećivati stomatologa najmanje dva puta godišnje a po potrebi i više puta.
Piše Alexandra Menčik, dr.dent.med.





























